MedlinePlus Información de Salud para UstedMedlinePlus Información de Salud para UstedMedlinePlus Información de Salud para Usted

Enciclopedia médica en español

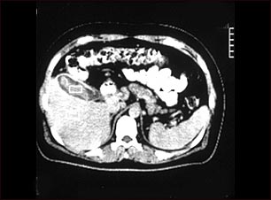
Tomografía computarizada de una colecistitis

Tomografía computarizada de una colecistitis

TC que muestra colecistitis (cálculos biliares).

Actualizado: 6/3/2008


A.D.A.M. logo