![]() | ![]() | ![]() |
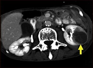
Metástasis del riñón - TC

TC del abdomen medio de un paciente con carcinoma pulmonar que muestra metástasis (cáncer diseminado) hacia el riñón izquierdo. Obsérvese el tumor del riñón, al lado derecho de la imagen, de forma circular, grande y oscuro.
Actualizado: 6/10/2008
