MedlinePlus Información de Salud para UstedMedlinePlus Información de Salud para UstedMedlinePlus Información de Salud para Usted

Enciclopedia médica en español

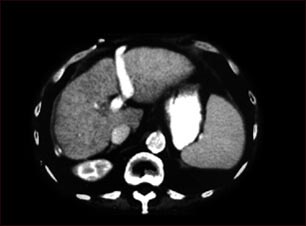
Cirrosis hepática; TC

Cirrosis hepática; TC

TC del abdomen superior mostrando cirrosis hepática.

Actualizado: 5/27/2008


A.D.A.M. logo