MedlinePlus Información de Salud para UstedMedlinePlus Información de Salud para UstedMedlinePlus Información de Salud para Usted

Enciclopedia médica en español

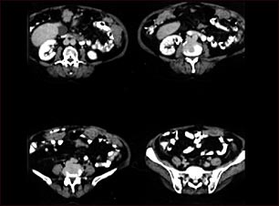
TC de cáncer peritoneal y de ovario

TC de cáncer peritoneal y de ovario

TC de la parte inferior del abdomen que muestra una metástasis del cáncer de los ovarios hacia el peritoneo.

Actualizado: 6/10/2008


A.D.A.M. logo