MedlinePlus Información de Salud para UstedMedlinePlus Información de Salud para UstedMedlinePlus Información de Salud para Usted

Enciclopedia médica en español

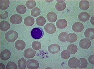
Glóbulos rojos normales

Glóbulos rojos normales

Esta imagen muestra glóbulos rojos normales al microscopio, después de ser teñidos.

Actualizado: 8/10/2008


A.D.A.M. logo