![]() | ![]() | ![]() |
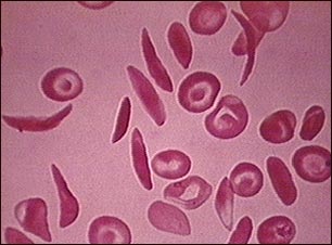
Glóbulos rojos drepanocíticos múltiples

La anemia falciforme es una enfermedad hereditaria de la sangre en la cual los glóbulos rojos producen pigmento (hemoglobina) anormal. La hemoglobina anormal hace que los glóbulos rojos adquieran forma de medialuna u hoz, como se observa en esta microfotografía.
Actualizado: 8/10/2008
