MedlinePlus Información de Salud para UstedMedlinePlus Información de Salud para UstedMedlinePlus Información de Salud para Usted

Enciclopedia médica en español

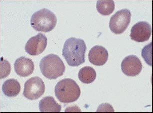
Malaria, vista microscópica de parásitos celulares

Malaria, vista microscópica de parásitos celulares

Los parásitos de la malaria se observan dentro de los glóbulos rojos de la sangre, ya que con la tinción adquieren un color azul oscuro.

Actualizado: 8/10/2008


A.D.A.M. logo