![]() | ![]() | ![]() |
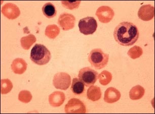
Eritroblastosis fetal- foto micrografía

Los anticuerpos provenientes de una madre Rh negativa pueden ingresar al torrente sanguíneo del feto Rh positivo y dañar sus glóbulos rojos (GR). La respuesta fetal consiste en incrementar la producción de GR y enviar al torrente sanguíneo GR inmaduros que contienen núcleos. Esta fotografía muestra GR normales, GR lesionados y GR inmaduros que aún contienen sus núcleos.
Actualizado: 10/15/2007
