MedlinePlus Información de Salud para UstedMedlinePlus Información de Salud para UstedMedlinePlus Información de Salud para Usted

Enciclopedia médica en español

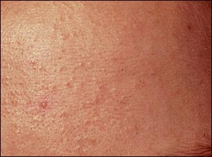
Primer plano de las espinillas (comedones)

Primer plano de las espinillas (comedones)

Las espinillas o comedones abiertos son comunes en el acné. Los folículos pilosos obstruidos reflejan la luz en forma irregular para producir este matiz negro.

Actualizado: 4/14/2008


A.D.A.M. logo